How Long Does It Take to Get Dental Implants?
Are you planning on going for a dental implant surgery any time soon? And, are you wondering how long does a dental implant take? Well, you are not alone. This surgery is a welcome alternative to any bridgework or dentures. Plus, it is most appropriate when you have weak or damaged roots, unable to support […]
Should I Visit the Dentist during the COVID-19 Pandemic?
COVID-19 has affected every aspect of life in America. Medical care and visiting the dentist are no different. In the opening weeks of the COVID-19 pandemic, all dental offices required their doors to be closed. As the pandemic has continued, safety procedures have been put in place and dentists are once again providing care to […]
Why Would Someone Qualify for Full-Mouth Reconstruction?
There’s a common misconception that bad teeth and illegal drug use go hand in hand, but that’s not always the case. Our office compassionately serves patients whose challenges range from cosmetic deformities to advanced gum disease. Full mouth reconstruction revitalizes a mouth that’s meant to smile. Bruce Vafa specializes in complete smile makeovers to address […]
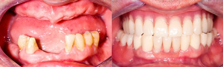
How to Handle Not Having Teeth
Tooth loss is no laughing matter. That’s because it’s something that has impacted countless people since the beginning of time. People lose their teeth for all sorts of diverse reasons. That’s the reason it can help people to learn about all sorts of missing teeth treatment options. If you want to explore missing teeth treatment […]
Dental Implant Surgery in 2020

When adults lose teeth, West Hollywood dentists typically use dental implants to replace these teeth. Dental implants are embedded into the jaw and look and feel like natural teeth. A dental implant will also help preserve the mouth’s structure by holding teeth in their correct positions. Because dental implant technology evolves quickly, a patient looking […]
2020 Alternatives to Dentures-Dental Implants

You may think the only option is dentures when you are missing some or all of your teeth. However, with affordable dental implants cost in Los Angeles, you have a variety of options. With these affordable possibilities, you can now search for the best replacement plan for your unique situation. What are dental implants? Tooth […]
What Should I do for a Dental Emergency during COVID-19?
It is an unprecedented time in our world’s history. The world is suffering from a pandemic that has affected our way of life. However, mouth injuries and accidents are one part of our everyday life that has not changed. A mouth injury can be as simple as biting your tongue, but an accident can be […]
TMJ Pain Treatment

Considering how hard the human jaw works on any given day, it’s no surprise that TMJ pain is a fairly common ailment. TMJ pain treatments work to address the various underlying problems that can cause this vital joint to malfunction. Depending on the severity of your problem, your dentist will recommend the treatment approach that […]
International Tooth Numbering System
Did you know there are three kinds tooth numbering systems in dentistry? Here’s the universal, international’s tooth numbering system for your reference, which can help you have a more productive conversation with you dentist.
Dental Implants Quick Guide, Resources

If you are considering dental implants in Los Angeles, CA, we have some good resources for you. Dr. Bruce Vafa, an award winning dentist in Los Angeles has performed thousands of dental implants cases. He has years of experience in dental implants and can transform your smile to a healthy, beautiful one. Call today and […]