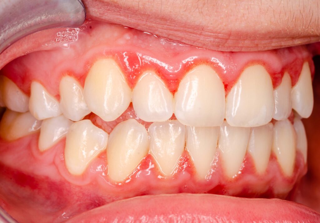
Is Gingivitis Contagious?

Studies show that gingivitis affects approximately 80% of the U.S. population. Besides, research done recently indicates that around 50% of American adults have a form of gingivitis. Well, this type of periodontal disease is characterized by gum inflammation. And its common symptoms include red, tender, swollen, and bleeding gums. A West Hollywood dentist has the […]
Can I transfer and Switch my Dentist in the middle of treatment?

Switching dentists can be challenging when the difference in service levels is substantial. A switch often means having to change your entire dental team. The time, effort, and cost all increase considerably when you have to start anew with another dentist. If you have just had a significant operation, changing dentists could be even more […]
Can you smoke with invisalign

When you want to improve the quality of your smile and correct any cosmetic imperfections that are present, Invisalign is a great alternative to traditional braces. Part of the appeal of Invisalign is the ability to remove them from the mouth and maintain a professional appearance with their transparent construction. For those who smoke and […]
Will Insurance Cover Botox for Tmj

Botox is a type of neurotoxin that is injected into the patient’s muscles. After being injected, muscle activity is reduced, which can help with pain relief and headaches. In recent years, Botox has been used to reduce the pain of people with chronic tension-type headaches. The botox for tmj West Hollywood injection is also being […]
What Is A Gumline Cavity? diagnostic and treatment
No one likes to think about the potential consequences of oral health and gum disease, but it is a genuine concern for every person. Gum diseases are caused by bacteria responsible for cavities and tooth decay. Unfortunately, there is no cure for gum disease yet, but there are many ways to prevent it from happening […]
Emergency Walk in Dentist in West Hollywood

Tooth pain? No problem! We offer emergency dental care seven days a week from 8 AM to 8 PM. Call us now to schedule an emergency appointment. Our offices are open, and we are ready for you to receive relief for your dental pain as soon as possible. Our services include: Emergency Tooth Extraction A […]
Jaw Pain—Symptoms, Causes, and Treatment

Jaw pain is a kind of discomfort and pain patients experience in their jaw area. You can experience pain or discomfort in your lower jaw, TMJ (temporomandibular joint or jaw joint), or your jaw’s surrounding soft tissues. In some cases, the pain can extend to your neck and ears. It might be chronic, temporary, or […]
Can TMJ Cause Headaches

What is TMJ? TMG is a painful condition that causes lots of headache and jaw pain. This is a condition that’s known to produce mild or severe pain within the upper or lower portions of your head. TMJ is specifically identified because of its tendency to cause lots of pain. Mistaking TMJ for a Headache […]
What’s a Root Canal
The teeth are probably one of the most sensitive parts of our bodies. A painful tooth can hinder you from doing well, making you uncomfortable, especially with the root canal. But do not worry; with the significant advancements in medicine, we can treat your teeth right away. Get your root canal fixed for a better […]
Can a Dentist Fix TMJ
12% of US residents experience TMJ disorder at some point in life. The temporomandibular is a joint that connects your jaws to the skull. It enables mouth movements like yawning, chewing, and talking. If you develop issues that affect the jaw bone’s functionality, you might end up with TMJ disorder. Unfortunately only 5% to 10% […]